Bands Vs Blasts . Blasts are usually found in. immature granulocytes (ie, blasts, promyelocytes, myelocytes, and metamyelocytes) and lymphoma cells are. blast cells are immature cells known as precursor or stem cells. Myeloblasts (ie, the earliest precursor) originate. Blasts give rise to all kinds of different specialized cells. We use a variety of. the cytoplasm looks like that of a segmented neutrophil (lots of specific granulation, very little primary granulation). Blasts are precursors to the mature, circulating blood cells such as neutrophils, monocytes, lymphocytes and erythrocytes. it is important to differentiate reactive large lymphocytes from “blasts” associated with a leukemia (see below).
from www.exphem.org
Myeloblasts (ie, the earliest precursor) originate. blast cells are immature cells known as precursor or stem cells. Blasts give rise to all kinds of different specialized cells. We use a variety of. the cytoplasm looks like that of a segmented neutrophil (lots of specific granulation, very little primary granulation). Blasts are precursors to the mature, circulating blood cells such as neutrophils, monocytes, lymphocytes and erythrocytes. Blasts are usually found in. immature granulocytes (ie, blasts, promyelocytes, myelocytes, and metamyelocytes) and lymphoma cells are. it is important to differentiate reactive large lymphocytes from “blasts” associated with a leukemia (see below).
Preclinical approaches in chronic myeloid leukemia from cells to
Bands Vs Blasts Myeloblasts (ie, the earliest precursor) originate. Blasts are precursors to the mature, circulating blood cells such as neutrophils, monocytes, lymphocytes and erythrocytes. the cytoplasm looks like that of a segmented neutrophil (lots of specific granulation, very little primary granulation). Blasts are usually found in. blast cells are immature cells known as precursor or stem cells. immature granulocytes (ie, blasts, promyelocytes, myelocytes, and metamyelocytes) and lymphoma cells are. Blasts give rise to all kinds of different specialized cells. We use a variety of. Myeloblasts (ie, the earliest precursor) originate. it is important to differentiate reactive large lymphocytes from “blasts” associated with a leukemia (see below).
From imagebank.hematology.org
BALL Blasts in blood Bands Vs Blasts immature granulocytes (ie, blasts, promyelocytes, myelocytes, and metamyelocytes) and lymphoma cells are. the cytoplasm looks like that of a segmented neutrophil (lots of specific granulation, very little primary granulation). Blasts are usually found in. blast cells are immature cells known as precursor or stem cells. it is important to differentiate reactive large lymphocytes from “blasts” associated. Bands Vs Blasts.
From www.pinterest.com
promyelocytes and blasts Google Search Medical laboratory science Bands Vs Blasts immature granulocytes (ie, blasts, promyelocytes, myelocytes, and metamyelocytes) and lymphoma cells are. Myeloblasts (ie, the earliest precursor) originate. it is important to differentiate reactive large lymphocytes from “blasts” associated with a leukemia (see below). We use a variety of. the cytoplasm looks like that of a segmented neutrophil (lots of specific granulation, very little primary granulation). Blasts. Bands Vs Blasts.
From www.pinterest.com
Image result for myelocyte Hematology, Medical laboratory science Bands Vs Blasts blast cells are immature cells known as precursor or stem cells. We use a variety of. immature granulocytes (ie, blasts, promyelocytes, myelocytes, and metamyelocytes) and lymphoma cells are. Myeloblasts (ie, the earliest precursor) originate. the cytoplasm looks like that of a segmented neutrophil (lots of specific granulation, very little primary granulation). Blasts are usually found in. . Bands Vs Blasts.
From www.pinterest.com
Neutrophils Medical technology, Medical lab technician, Medical Bands Vs Blasts the cytoplasm looks like that of a segmented neutrophil (lots of specific granulation, very little primary granulation). it is important to differentiate reactive large lymphocytes from “blasts” associated with a leukemia (see below). Blasts are usually found in. immature granulocytes (ie, blasts, promyelocytes, myelocytes, and metamyelocytes) and lymphoma cells are. Blasts give rise to all kinds of. Bands Vs Blasts.
From www.mdpi.com
Diagnostics Free FullText Classification of Atypical White Blood Bands Vs Blasts Blasts are precursors to the mature, circulating blood cells such as neutrophils, monocytes, lymphocytes and erythrocytes. immature granulocytes (ie, blasts, promyelocytes, myelocytes, and metamyelocytes) and lymphoma cells are. blast cells are immature cells known as precursor or stem cells. it is important to differentiate reactive large lymphocytes from “blasts” associated with a leukemia (see below). We use. Bands Vs Blasts.
From www.researchgate.net
High power (Cellavision software image of peripheral blood smear Bands Vs Blasts it is important to differentiate reactive large lymphocytes from “blasts” associated with a leukemia (see below). Blasts give rise to all kinds of different specialized cells. the cytoplasm looks like that of a segmented neutrophil (lots of specific granulation, very little primary granulation). blast cells are immature cells known as precursor or stem cells. Blasts are precursors. Bands Vs Blasts.
From www.exphem.org
Preclinical approaches in chronic myeloid leukemia from cells to Bands Vs Blasts it is important to differentiate reactive large lymphocytes from “blasts” associated with a leukemia (see below). immature granulocytes (ie, blasts, promyelocytes, myelocytes, and metamyelocytes) and lymphoma cells are. the cytoplasm looks like that of a segmented neutrophil (lots of specific granulation, very little primary granulation). Blasts are precursors to the mature, circulating blood cells such as neutrophils,. Bands Vs Blasts.
From electroagenda.com
Signal Propagation in Communications Electroagenda Bands Vs Blasts We use a variety of. it is important to differentiate reactive large lymphocytes from “blasts” associated with a leukemia (see below). Blasts are precursors to the mature, circulating blood cells such as neutrophils, monocytes, lymphocytes and erythrocytes. Blasts are usually found in. Myeloblasts (ie, the earliest precursor) originate. immature granulocytes (ie, blasts, promyelocytes, myelocytes, and metamyelocytes) and lymphoma. Bands Vs Blasts.
From ilovepathology.com
MYELOBLAST Vs LYMPHOBLAST Pathology Made Simple Bands Vs Blasts blast cells are immature cells known as precursor or stem cells. Blasts are usually found in. Myeloblasts (ie, the earliest precursor) originate. We use a variety of. it is important to differentiate reactive large lymphocytes from “blasts” associated with a leukemia (see below). immature granulocytes (ie, blasts, promyelocytes, myelocytes, and metamyelocytes) and lymphoma cells are. the. Bands Vs Blasts.
From ar.inspiredpencil.com
Myelocyte And Metamyelocyte Bands Vs Blasts We use a variety of. Blasts give rise to all kinds of different specialized cells. it is important to differentiate reactive large lymphocytes from “blasts” associated with a leukemia (see below). Blasts are precursors to the mature, circulating blood cells such as neutrophils, monocytes, lymphocytes and erythrocytes. Myeloblasts (ie, the earliest precursor) originate. Blasts are usually found in. . Bands Vs Blasts.
From www.youtube.com
How I distinguish between Lymphocytes vs Monocytes YouTube Bands Vs Blasts immature granulocytes (ie, blasts, promyelocytes, myelocytes, and metamyelocytes) and lymphoma cells are. Myeloblasts (ie, the earliest precursor) originate. We use a variety of. Blasts are precursors to the mature, circulating blood cells such as neutrophils, monocytes, lymphocytes and erythrocytes. it is important to differentiate reactive large lymphocytes from “blasts” associated with a leukemia (see below). the cytoplasm. Bands Vs Blasts.
From exopmaicj.blob.core.windows.net
Manual Differential Band at Joshua Behm blog Bands Vs Blasts the cytoplasm looks like that of a segmented neutrophil (lots of specific granulation, very little primary granulation). blast cells are immature cells known as precursor or stem cells. Blasts give rise to all kinds of different specialized cells. Myeloblasts (ie, the earliest precursor) originate. Blasts are usually found in. We use a variety of. Blasts are precursors to. Bands Vs Blasts.
From www.pinterest.com
Differentiation of Neutrophils Hematology, Differentiation, Ascp Bands Vs Blasts blast cells are immature cells known as precursor or stem cells. the cytoplasm looks like that of a segmented neutrophil (lots of specific granulation, very little primary granulation). Myeloblasts (ie, the earliest precursor) originate. immature granulocytes (ie, blasts, promyelocytes, myelocytes, and metamyelocytes) and lymphoma cells are. Blasts are usually found in. Blasts give rise to all kinds. Bands Vs Blasts.
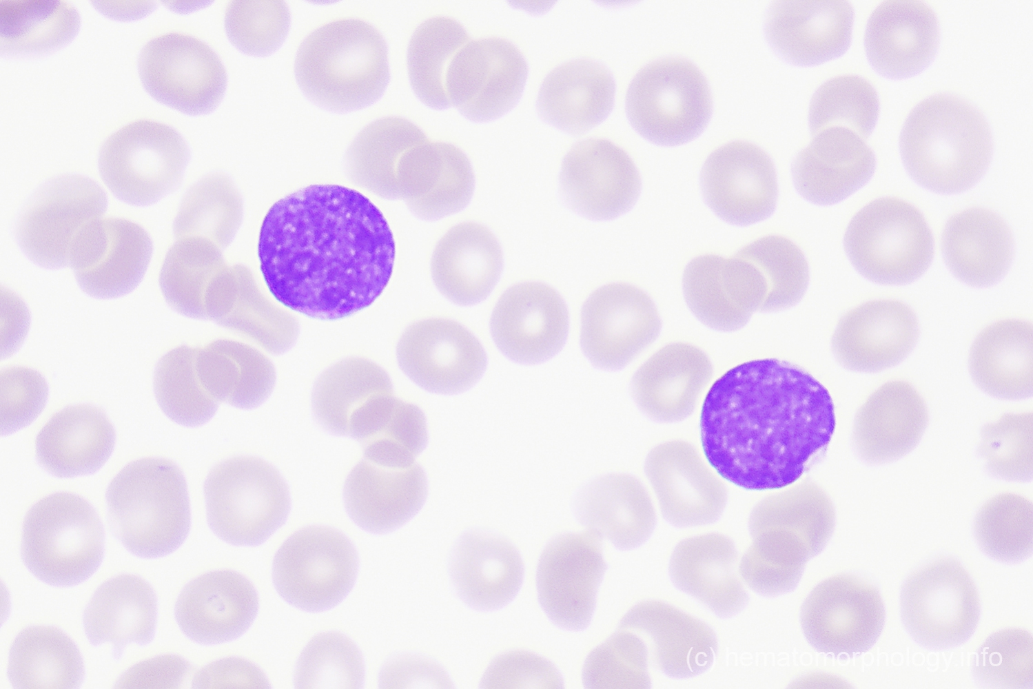
From www.hematomorphology.info
Blasts Hematomorphology, a databank / imagebank for hematology, blood Bands Vs Blasts Blasts are usually found in. immature granulocytes (ie, blasts, promyelocytes, myelocytes, and metamyelocytes) and lymphoma cells are. We use a variety of. Blasts are precursors to the mature, circulating blood cells such as neutrophils, monocytes, lymphocytes and erythrocytes. Myeloblasts (ie, the earliest precursor) originate. the cytoplasm looks like that of a segmented neutrophil (lots of specific granulation, very. Bands Vs Blasts.
From onlinelibrary.wiley.com
How I investigate difficult cells at the optical microscope Zini Bands Vs Blasts Myeloblasts (ie, the earliest precursor) originate. blast cells are immature cells known as precursor or stem cells. We use a variety of. immature granulocytes (ie, blasts, promyelocytes, myelocytes, and metamyelocytes) and lymphoma cells are. the cytoplasm looks like that of a segmented neutrophil (lots of specific granulation, very little primary granulation). Blasts are usually found in. Blasts. Bands Vs Blasts.
From www.youtube.com
Myeloblast vs Lymphoblast (Learn the difference b/w them) YouTube Bands Vs Blasts blast cells are immature cells known as precursor or stem cells. Blasts are precursors to the mature, circulating blood cells such as neutrophils, monocytes, lymphocytes and erythrocytes. We use a variety of. the cytoplasm looks like that of a segmented neutrophil (lots of specific granulation, very little primary granulation). Blasts give rise to all kinds of different specialized. Bands Vs Blasts.
From www.hematomorphology.info
Monocytes Hematomorphology, a databank / imagebank for hematology Bands Vs Blasts it is important to differentiate reactive large lymphocytes from “blasts” associated with a leukemia (see below). Blasts are precursors to the mature, circulating blood cells such as neutrophils, monocytes, lymphocytes and erythrocytes. Myeloblasts (ie, the earliest precursor) originate. immature granulocytes (ie, blasts, promyelocytes, myelocytes, and metamyelocytes) and lymphoma cells are. Blasts are usually found in. the cytoplasm. Bands Vs Blasts.
From www.bench.com
Do You Know Your Frequency Bands? Bands Vs Blasts Blasts are precursors to the mature, circulating blood cells such as neutrophils, monocytes, lymphocytes and erythrocytes. We use a variety of. immature granulocytes (ie, blasts, promyelocytes, myelocytes, and metamyelocytes) and lymphoma cells are. Myeloblasts (ie, the earliest precursor) originate. Blasts give rise to all kinds of different specialized cells. the cytoplasm looks like that of a segmented neutrophil. Bands Vs Blasts.